Fale com um especialista
Deixe seus dados que a nossa equipe entrará em contato.
QUEM SOMOS
_
Somos um laboratório de prótese que abrange tanto o analógico quanto o digital. Oferecemos soluções personalizadas para nossos clientes, e investimos fortemente em tecnologia. Scanners intra-orais, impressoras 3D, e software de design digital, tudo para garantir a qualidade dos nossos trabalhos.
Aqui, o dentista consegue oferecer tratamentos mais precisos e eficientes. Pensamos em todos os detalhes, para proporcionar aos nossos clientes uma experiência positiva e confortável, além de priorizarmos pela agilidade em todos os nossos processos.
Muito mais que um laboratório de próteses, entregamos aos nossos dentistas verdadeiras obras de arte e não deixamos de lado o bom relacionamento, prezamos por ser cordiais desde o nosso primeiro contato até o momento da entrega, esses são os nossos maiores diferenciais.
Chegou a hora de levar o MELHOR para dentro do seu consultório. Vamos juntos?
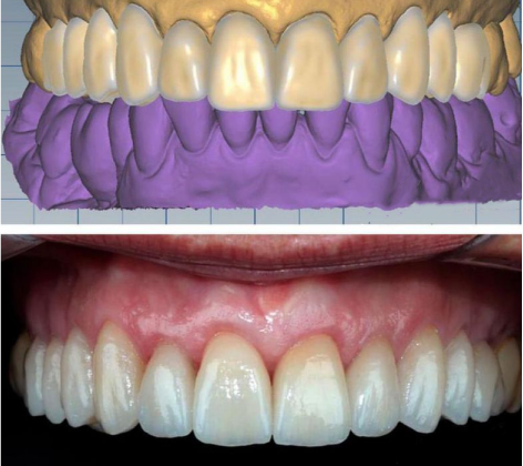
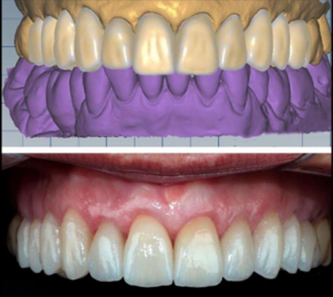
Essa é a qualidade
que oferecemos
para todos os nossos
clientes, tudo é
milimetricamente
pensado.
GALERIA
VÍDEOS E FOTOS





SERVIÇOS
_
Com equipamentos de alta tecnologia desenvolvemos modelos de próteses mais precisos, bonitos e adequados ao rosto dos seus pacientes, resultando em verdadeiras obras-primas.
- Escaneamento Delivery
- Impressão de modelos
- Impressão de mock up Shell por elementos
- Modelo de gesso
- Muralha de silicone
- Enceramento Digital por elemento
- Enceramento de Projetos Digitais – 1 a 12 elementos
- Enceramento de Projetos Digitais 13 – 24 elementos
- Coroa Metálica sobre dente /implante
- Coroa porcelana pura (sobre dente e sobre implante)
- Coroa porcelana com coping de zircônia (sobre implante e dente)
- Facetas de Porcelana / lente de contato
- Coroa / faceta unitária personalizada (central/ lateral ou canino)
- Guia cirúrgico periodontal
- Guia cirúrgico para implantes
- Guia de desgaste
- Prótese Total
- Prótese total imediata / PPR provisória
- PPR com estrutura metálica (dentes à parte)
- Moldeira de clareamento
- Placa Miorelaxante Flexível
- Placa Miorelaxante Rígida Digital
- Placa acetato
- Moldeira individual
- Protocolo acrílico
- Protocolo acrílico provisória (por arcada)
- Protocolo Cerâmico (barra zircônia)
- Protocolo Cerâmico (barra metálica)
- Protocolo Cerâmico (monolítico zolid)
- Escaneamento Delivery
- Impressão de modelos
- Impressão de mock up Shell por elementos
- Modelo de gesso
- Muralha de silicone
- Enceramento Digital por elemento
- Enceramento de Projetos Digitais – 1 a 12 elementos
- Enceramento de Projetos Digitais 13 – 24 elementos
- Aparelhos ortodônticos e ortopédicos
CASES
_
Uma obra – prima no sorriso dos seus pacientes.
Reabilitação do arco superior com coroas e uma fixação sobre implantes.
Prótese fixa sobre implantes.
Reabilitação de coroas totais.
DEPOIMENTOS
_
Mais que produzir próteses, criamos um novo significado para a arte de sorrir.
A situação que se encontrava os meus dentes me fez sofrer por muitos anos e a prótese resolveu em 3 dias esse sofrimento. Me arrependo por não ter feito esse procedimento há muito mais tempo, agora sinto a minha autoestima renovada.
Pensei que não daria tanto resultado, mas a diferença foi imensa. As próteses são perfeitas, muito naturais, indico para todo mundo!
Minha auto estima foi de 0 a 100, me sinto uma pessoa muito mais confiante. Quero agradecer a todos que tornaram esse sonho possível!
A tecnologia que foi utilizada é impressionante, as próteses ficaram prontas em pouco tempo, o que colaborou para que a entrega final também fosse rápida. Eu amei o resultado, me surpreendi!
MAIS DEPOIMENTOS
O laboratório Persona é meu parceiro, eu só tenho a agradecer a eficiência e a precisão dos trabalhos. Indico de olhos fechados, não só pela beleza das peças, mas pela eficácia, tecnologia e pela equipe maravilhosa que eles possuem.
O laboratório Persona nos permite entrar no mundo digital sem preocupações, a impressão que eu tenho é que o laboratório faz parte da minha clínica, pois através do compartilhamento de pastas, envio dos arquivos e de vídeo transferência os trabalhos são construídos da forma que eu desejo suprindo todas as minhas expectativas. Além disso, considero ser um local responsável e muito ágil.
O primeiro trabalho que desenvolvi com o Persona foi um case simples sobre implante para que eu pudesse avaliar e até conhecer todo o protocolo do laboratório e foi incrível!!! A partir daí, comecei a enviar cada vez mais trabalhos, hoje eu mando 100% dos meus casos para eles e recebo uma adaptação marginal perfeita das minhas peças. Eu me alinhei com o Robson e com toda a equipe para que fosse possível entregar tudo com a excelência que o nosso paciente merece. Então, estou aqui para agradecer toda a equipe, o Robson, o Marcos e principalmente a Claudia, por tudo o que vocês tem feito ao longo desses sete meses e que a nossa parceria possa durar muitos e muitos anos. Meu muito obrigado!!!
Fale com um especialista
Deixe seus dados que a nossa equipe entrará em contato.